欢迎光临~太阳成集团tyc122cc
:400-800-8232、13922709440

新闻中心

拍摄的不合格胸片的缺陷和解决方法

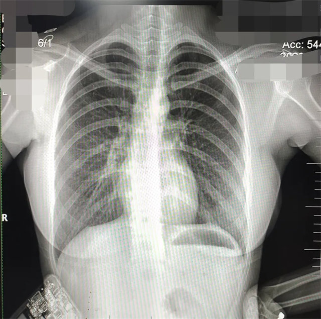
缺陷:两肩胛骨未拉开肺野之外,吸气不完全,且存在金属饰品遮挡。
解决:去除金属饰品及内衣后重新按标准体位摄片即可。


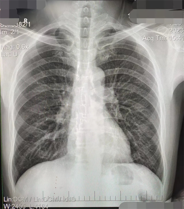
缺陷:双侧胸锁关节不对称,且有手机显影。

解决:去除手机后,使患者左侧紧贴成像件曝光。


缺陷:左肩胛骨部分与左肺野重叠。

解决:使患者左肩旋前紧贴成像件重新曝光。


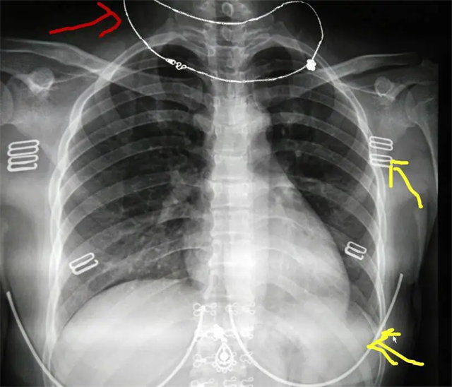
缺陷:肩胛骨未完全拉离肺野,吸气不完全,存在金属伪影遮挡,略有耸肩,且肺尖显示不好,图像颗粒感较强,管电流量不够,信噪比偏低。
解决:去除金属物品后,按标准体位,使患者双肩旋前与前胸一并紧贴成像件,适当调高mAs,然后深吸气后屏气曝光。


导航栏目



联系我们

联系人:13922709440 余先生

销售热线:0724-4016818

售后服务:19171569097

服务热线:400-800-8232

邮 箱:xianhao266@163.com

公 司:太阳成集团tyc122cc

地 址:湖北省钟祥市南湖新区协企联盟产业园C6栋


用手机扫描二维码关闭
二维码