欢迎光临~太阳成集团tyc122cc
:400-800-8232、13922709440

新闻中心

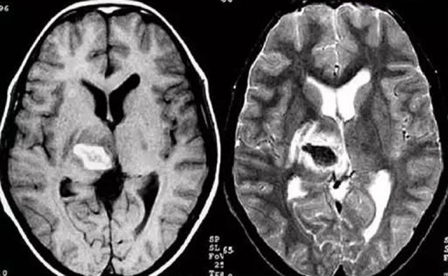
经颅多普勒超声(TCD)磁共振MRI检查脑出血诊断的作用是什么?

发现病人出血脑梗相关症状时候第一时间就医,需要携带以往的影像检查资料。向医生提供相关的病史基本资料。做影像检查时候需要全身不携带金属物品。检查时候身体保持不动,不然伪影对检查结果有干扰。磁共振MRI发现缺血性卒中后,帮助进一步查找病因。由于CT上小脑跟脑干颅骨影响,容易导致漏诊。MRI检查可以对CT检查不足的补充。短暂的脑缺血TIA也需要进行影像检查。短暂性缺血一般10几分钟后好转。检查目的可以确定TIA的病因。降低脑梗死的发生率。磁共振有助于排出TIA表现的颅内病变,有诊断及时治疗的价值。磁共振MRI检查时间比较长,不太适合急诊病人。但是可以发现脑干小脑的出血问题。因为急性脑梗死的早期和急性期,缺血区的脑组织还没有完全坏死,头颅CT不能显示病灶,所以就需要MRI磁共振检查,这个对陈旧跟亚急性出血显示比较好。缺点性价比不高,费用比较贵。头颅的磁共振MRI在发病后的几天CT的敏感降低时候发挥大作用。,MRI可作为诊断蛛网膜下腔出血和了解破裂动脉瘤部位的一种重要方法,必要时进一步进行DSA检查,帮助制订临床的手术治疗方案,
经颅多普勒超声(TCD)有效没有创伤性的检查方法,是检查脑血管的设备之一,它目前广泛应用于临床,检查判断脑出血卒中的头颅里面的内动脉外动脉的病变问题。诊断颅内动脉狭窄或闭塞性病变。颅外颈部动脉狭窄或闭塞性病变,评价颅外动脉严重狭窄或闭塞对颅内血流速度的影响。颈动脉内膜剥脱手术前预测夹闭作用、术后评估颅内血流变化。

导航栏目



联系我们

联系人:13922709440 余先生

销售热线:0724-4016818

售后服务:19171569097

服务热线:400-800-8232

邮 箱:xianhao266@163.com

公 司:太阳成集团tyc122cc

地 址:湖北省钟祥市南湖新区协企联盟产业园C6栋


用手机扫描二维码关闭
二维码